最新文章

動物世界
・2015/01/20
「等一下吃什麼?」對我們和我們的老祖宗來說都是個大哉問。華盛頓大學的研究團隊在哥斯大黎加研究捲尾猴(capuchin monkey)五年,發現在食物較少的淡季(lean season)裡,居住在不同地區的捲尾猴,經過長時間的演化後,有了不同的發展。
好書搶先看
・2015/01/20
在網路時代,偽草根運動變得愈來愈狡猾,愈來愈難以發現。你怎麼知道亞馬遜上的評論,或你在TripAdvisor看到的推薦是不是假的?
活得科學
・2015/01/20
當小朋友開始發典型音節時,先別太高興的說他們會叫「爸爸媽媽」了,也不要灰心常常聽不懂他們說話,他們可能才剛開始慢慢了解這些聲音和人事物之間的關聯。
生命奧祕
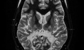
・2015/01/20
性聯遺傳之腎上腺白質退化症(XALD)是因為無法分解體內的超長鏈脂肪酸,主要堆積在人體的腎上腺與腦中白質,影響神經髓鞘的傳送功能,神經傳導無法傳送到正確的接收地,整個大腦就無法接受外界的刺激,有些病患是從視覺受損開始,有些是從注意力不集中、脾氣暴躁開始。關於X­ALD的治療方法,目前都還在實驗階段,因此,目前並非將主力放在「治癒」此一疾病,而是讓這些個案的生活更有品質。
活得科學
・2015/01/19
《蘋果日報》報導了輻射走調團的諸位朋友做了許多調查,查到了有碘131、鈽、銥-192等劇毒核種疑似與核電廠燒核廢料有關。相關新聞並有華視等媒體作了跟進報導。筆者對此行為甚感憂心,其猶如於幽黑電影院內謊稱失火一般,是嚴重影響公眾安全的行為。
地球脈動
・2015/01/19
不知道有多少人看過2009年在「自然」雜誌上,有關地球的限度(Planetary Boundaries)的文章呢?在當時,有30個科學家組成了一個團隊,列出九項他們共同認為對地球很重要的指標,以及這些指標的上限。 這些指標是:氣候變遷(climate change)、生物多樣性(biodiversity loss)、氮循環(nitrogen cycle)磷循環(phosphorus cycle) 海洋酸化(ocean acidification)、懸浮微粒污染(particle pollution of the atmosphere)、化學物污染(chemical pollution)、臭氧層的消失(ozone depletion)、淡水使用(freshwater use)、森林砍伐與土地使用變更(deforestation and other land use changes)。
活得科學
・2015/01/19
瓦特?啊不就他小時候看到燒開水的水壺蓋子被蒸氣掀起,因此得到靈感而發明蒸汽機。錯!他既沒有因此得到靈感,蒸汽機也早就有人發明了,瓦特只是「做了一個改良的動作」。不過這個改良卻造成很大的差別,為工業革命揭開了序幕。
泛科授權 1.0
・2015/01/19
到底非洲的面積有多大?非洲可以塞進 美國+中國+印度+日本+德國+法國+西班牙+義大利+英國,剩下零碎的面積還可以再組成一整個墨西哥!
專欄
・2015/01/19
台清大物理系余怡德教授的研究團隊,利用「電磁波引發透明」(EIT)的機制驗證「自旋子慢光」(spinor slow light)現象,並發表於「自然-通訊」期刊。
活得科學
・2015/01/18
前庭敏感的人的確容易暈車,但跟平衡感並沒有正向關聯,平衡感好不好不能夠直接從容不容易暈車來判斷,畢竟平衡感不只是大腦需要處理感覺刺激,還需要良好的控制肌肉骨骼系統,有良好的協調才能夠不跌倒喔!