最新文章

生命奧祕
・2012/09/20
這項可以用來鑑定處男的研究出自美國印第安納大學布魯明頓分校生物系專攻微生物與環境的大衛-尼爾森(David Nelson)的團隊。在研究中,尼爾森使用了一種叫做16S rRNA測序的技術。16S rRNA是原核生物核糖體的組成部分,不同的物種之間,16S rRNA的序列有明顯的差異。通過分析這種差異,我們就能夠瞭解擁有這些16S rRNA的物種究竟是什麼。
活得科學
・2012/09/20
食物或許像毒品或酒精一樣令人上癮:雖然結果尚未出來,但是愈來愈多的證據指出,食物成癮與毒品/藥物成癮有一些驚人的相似點。
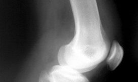
健康養生
・2012/09/20
如果你是 3千多萬的美國人其中一員的話,那麼你就會處在骨質疏鬆症的風險*底下,你得知道該如何強化與保護你的骨骼是很重要的一件事情。骨質疏鬆症的意思就是骨頭的孔洞變多與脆弱,稍微遇到外力就可能導致骨折。
專欄
・2012/09/19
大腦常比擬為電腦,不過兩者之間的差異即使隨著科技的進步而縮減,但終究還是很不一樣,畢竟電腦做影像或聲音辨識的能力跟我們比起來欠缺智慧,而你寫數學考卷的能力比起電腦的運算遜色不少,更遑論考試前臨時抱佛腳還不能外接硬碟,速效的擴增空間與內容,不過彼此的共通特色就是──有bug──《大腦有問題?!》像是防毒軟體的跳出視窗,要讓你以毒攻毒啦!
太空天文
・2012/09/19
科學家從美國航太總署的火星勘測軌道衛星觀測資料,看到最清楚的證據顯示火星正在降下由固態二氧化碳(乾冰)所形成的雪花,甚至還可在火星表面形成乾冰積雪。這是到目前為止,太陽系中唯一觀測到乾冰雪花的案例。
地球脈動
・2012/09/19
這篇文章原是參加活動的心得,但特展對我的震憾,遠大於活動的誘因,也藉此推擴愛護自然,愛臺灣,也愛臺灣的自然環境。「有不少人說,近幾十年來我發展的速度,快的難以想像;但是,我卻想告訴人們,幾百萬年以來,我從未衰老的這麼快過。」
太空天文
・2012/09/19
現行一般相信,月球是在約45億年前,一顆火星大小的小行星與地球互撞之後的殘骸聚集形成的;這顆「傳說中」的小行星被暱稱為「忒伊亞(Theia)」—希臘神話中月亮女神Selene的母親。過去數十年來,科學家不斷模擬並重建這樣的撞擊過程,希望能符合現今已知的地月系統所有特性。然而,模擬解決了一部份問題,卻也掀起另一個所謂的「月球謬論(Lunar Paradox)」問題......
生命奧祕
・2012/09/19
諺語說家有一老,猶如一寶,但人們的智慧真的隨著年齡增長嗎?雖然有研究顯示部分的認知功能隨著年齡老化,但並非所有的能力都會隨著年齡老化;之前也有報導過一個研究顯示年齡並不是唯一影響認知能力的因素,該研究暗示社經地位較佳的國家,老人的認知能力有較佳的維繫。
太空天文
・2012/09/19
到目前為止,暗能量被提出至今,仍是當今最大的科學謎團之一,所以有許多科學家會質疑它的存在也不奇怪。在過去10年間,天文學家藉由觀測遙遠超新星的光而發現宇宙加速膨脹的現象,因而提出宇宙中約有73%是由具排斥力的暗能量組成,才會讓宇宙加速膨脹。雖然這項假說在2011年得到諾貝爾物理獎的肯定,但實際上暗能量存在與否仍是熱門的爭議話題。
來自台灣
・2012/09/19
隨地球氣候與生態環境巨幅變遷,許多物種正逐漸消失,甚至滅絕。近年來,各國政府或科學、環保組織,紛紛展開保存物種計畫,期能盡力降低物種消失的危機。2007年台灣成立「財團法人辜嚴倬雲植物保種暨環境保護發展基金會」,推動保種中心營運,並由清華大學生命科學系教授李家維擔任保種中心執行長。