Categories: 專欄醫療健康

鑑識故事系列:如何「染出」內臟的鐵?

丈夫用來蝕刻金屬的氯化鐵(FeCl3)遺失。罹患妄想型思覺失調症(paranoid schizophrenia),時年 47 歲的妻子,於自家公寓倒下,地板、嘴邊和身上的衣服,都有橙黃的液體。她曾數度以多種方式自殺未遂,最近有安排住院的計劃。[1]

自殺防治專線
衛生福利部安心專線 1925
生命線協談專線 1995
張老師輔導專線 1980

公寓地板上的黃色液體。圖/參考資料 1,Figure 2(CC BY 4.0)
女子的嘴邊和衣服,沾有黃色液體。圖/參考資料1,Figure 1(CC BY 4.0)

鐵中毒

19 世紀末起,基於毒物學的迅速發展,金屬中毒的意外與刑案,已經不似過往那麼頻繁。目前急性鐵中毒的情形,較常見於吞下過量(> 20 mg/kg)鐵劑的兒童;也有些案例是孕婦攝取太多含鐵的補品。輕微鐵中毒的症狀,包括:嘔吐、腹痛、拉肚子等;嚴重的話,則會出現脫水、低血壓、代謝性酸中毒、血糖濃度波動、凝血問題,以及肝臟、腎臟、心血管和中樞神經系統的損傷。[1]另外,氯化鐵加水而分解,也就是經過水解(hydrolysis)後,[1, 2]pH 值約在 1 到 2 之間,具有腐蝕性,會傷害消化道和附近的內臟,並經由血液擴大影響的範圍。[1]

一般急性鐵中毒的情況下,醫師可能會考慮手術取出含鐵的藥錠;[1]或者用水或生理食鹽水沖入胃部再抽出,即洗胃(gastric lavage);[1, 3]還可以經靜脈輸注除鐵能(deferoxamine),讓它跟鐵結合,再排出體外。[1, 4]不過,此個案或許是被發現時就確定死亡,原論文沒有任何關於救治的描述,而是直接從驗屍講起。[1]

示範緊急插管後洗胃:水由藍管口進入胃部,再從紅管口排出。影/Sammy Gold on YouTube

解剖驗屍

女子死後幾天,波蘭博美醫學大學(Pomeranian Medical University)的法醫系解剖驗屍:口腔黏膜跟腸胃道血栓性壞死(thrombotic necrosis)。此二處乃至周邊的心、肺、橫膈膜與肝臟,都呈現黃色。胃部清空,食物大概在毒物腐蝕體內組織的過程中,被腸胃壁和其他臟器吸收殆盡。腦部、肝臟與腎臟等內臟中,氯及鐵離子濃度很高。血液檢測排除酒精及外源非揮發性有機化合物。[1]

-----廣告,請繼續往下閱讀-----

普魯士藍染劑

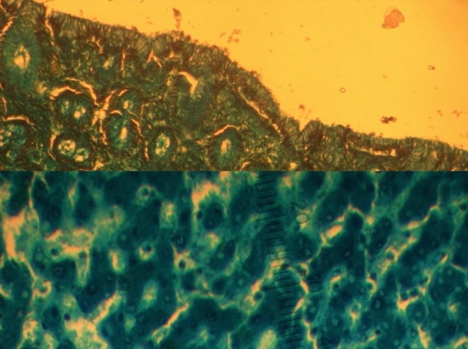
進行組織學分析的時候,照慣例得使用蘇木紫(haematoxylin)和伊紅(eosin)兩種染劑,讓細胞和組織的結構顯現出來;[5]而驗屍團隊在此額外採用普魯士藍(Prussian blue)染劑,促使鐵現形。[1]細胞中的鐵,分為可溶解跟不可溶解兩種。蘇木紫和伊紅無法令可溶解的鐵蛋白(ferritin)被看見;但普魯士藍染劑會使之呈現非常淺的水藍色。而不可溶解的血鐵質(hemosiderin),碰到蘇木紫與伊紅時是金棕色;如果用普魯士藍染劑,則為藍色。[6]

普魯士藍染劑的成份,為亞鐵氰化鉀鹽酸(potassium ferrocyanide hydrochloric acid)溶液,跟帶正電的鐵離子作用,會產生藍色的亞鐵氰化鐵(ferric ferrocyanide)。[7, 8]儘管人體本來就有鐵,正常的肝臟遇上該染劑,其實看不太出變化;即使因為生病而充斥血鐵質,頂多也只有部份細胞著色;不可能像中毒時,整片湛藍。女子的內臟組織一如預期的大面積變色,而且以腸子和肝臟的最為明顯。[1]

以普魯士藍染劑上色的腸道組織。圖/參考資料 1,Figure 3(CC BY 4.0)
用普魯士藍染劑著色的肝臟組織。圖/參考資料 1,Figure 4(CC BY 4.0)

死因

死亡與驗屍相隔幾天,屍體除了會出現一般死後常見的變化,無疑也給予氯化鐵蔓延並穿透的時間,惡化對內臟和組織的傷害。然而綜合所有證據,以及精神病史賦予的自殺動機,法醫仍可判斷女子死於口服氯化鐵中毒,引發的急性心肺衰竭。[1]

  

-----廣告,請繼續往下閱讀-----

參考資料

  1. Majdanik S, Potocka-Banaś B, Glowinski S, et al. (2021) ‘Suicide by intoxication with iron (III) chloride’. Forensic Toxicology, 39, 513–517.
  2. 5.4: Hydrolysis Reactions’. LibreTexts Chemistry, U.S.
  3. Stomach Pumping’. (10 JAN 2023) Cleveland Clinic, U.S.
  4. Velasquez J, Wray AA. (22 MAY 2023) ‘Deferoxamine’. In: StatPearls. Treasure Island (FL): StatPearls Publishing.
  5. Sampias C, Rolls G. ‘H&E Staining Overview: A Guide to Best Practices’. Leica Biosystems. (Accessed on 04 SEP 2023)
  6. Guindi M. (2018) ‘11 – Liver Disease in Iron Overload’. In: Practical Hepatic Pathology: a Diagnostic Approach (Second Edition). Pattern Recognition. (pp.151-165)
  7. All About Iron: The Colloidal Iron Stain and Prussian Blue Reaction’. (04 JUN 2021) U.S. National Society for Histotechnology.
  8. Suvarna KS, Layton C, Bancroft JD. (2018) ‘Techniques for the Demonstration of Carbohydrates’. In: Bancroft’s Theory and Practice of Histological Techniques E-Book. (pp. 187-188)
-----廣告,請繼續往下閱讀-----
胡中行

曾任澳洲臨床試驗研究護理師,以及臺、澳劇場工作者。 西澳大學護理碩士、國立台北藝術大學戲劇學士(主修編劇)。邀稿請洽臉書「荒誕遊牧」,謝謝。