Categories: 專欄醫療健康

鑑識故事系列:MRI 才看得到單純疱疹腦炎?

在瑞士有個 61 歲的男子,4 天前還被看到好端端的,眼下卻沒來由地在家裡掛了。目擊證人、已知疾病、就診紀錄,或是感染相關的線索,例如:升高的肛溫、皮膚的瘀點、退燒藥、止痛劑等,要什麼沒什麼。驗屍團隊推估男子死亡超過 24 小時,其他所知無多。[1]

非本案使用的核磁共振掃描儀。圖/Jan Ainali on Wikimedia Commons(CC BY 3.0)

驗屍

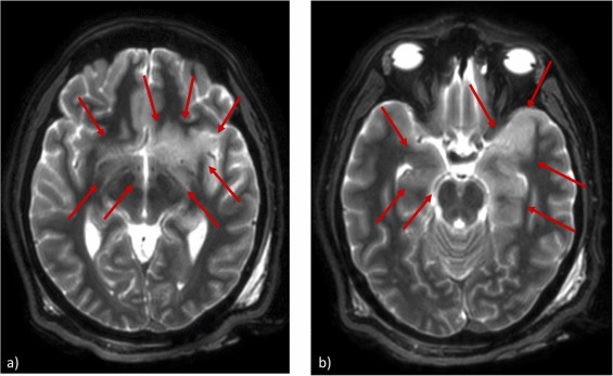
就外觀而言,男子的屍體沒有任何病灶。驗屍團隊本來想照慣例,先做電腦斷層掃描(computed tomography),觀察內部概況後再解剖。無奈這天儀器故障,所以改照核磁共振造影(magnetic resonance imaging)。不過,塞翁失馬,焉知非福。雖然核磁共振的成本較高,費時冗長,但是影像更為細緻:神經放射科醫師指出腦部額葉與顳葉的扣帶皮質、邊緣葉,以及島葉皮質的左側,都有損傷。換句話說,可能是單純疱疹病毒腦炎(herpes simplex virus encephalitis)。[1]

男子的 T1 核磁共振影像。圖/參考資料 1,Figure 3(CC BY 4.0)
男子的 T2 核磁共振影像。圖/參考資料 1,Figure 4(CC BY 4.0)

照完醫療影像,把屍體剖開來,有肉眼和顯微鏡都可見的肺炎(pneumonia)病變。腦部切片的組織學分析,以蘇木紫(hematoxylin)和伊紅(eosin)染劑上色,顯現出少量發炎的腦幹細胞與病變的海馬體神經元;透過免疫組織化學染色,則發現腦幹內有某些類型的 T 細胞和巨噬細胞,以及活化的小神經膠質細胞等多種免疫細胞。更重要的是,在海馬體中找到單純疱疹病毒(herpes simplex virus)HSV-1 與 HSV-2,證明了根據核磁共振影像所做的推測。[1]

腦幹(米色)與海馬體(紅色)的位置。圖/Life Science Databases on Wikimedia Commons(CC-BY-SA-2.1-jp)
腦幹發炎的細胞。圖/參考資料 1,Figure 1(CC BY 4.0)
海馬體病變的神經元。圖/參考資料 1,Figure 2(CC BY 4.0)

單純疱疹病毒

單純疱疹病毒經由接觸傳播,從皮膚或黏膜進入人體,感染神經末梢,並在神經節中進行複製。[1]該病毒分為兩型:90% 的人口都得過,會造成口腔疱疹唇疱疹HSV-1,偶爾也因口交衍生出性器疱疹;不過較不普遍的 HSV-2,通常才是後者的元兇。[1, 2]另外,有些極罕見的 HSV-1 和 HSV-2 案例,是母親於生產時,傳染給嬰兒。[2]

-----廣告,請繼續往下閱讀-----

首次感染也許會發燒、頭疼、喉嚨痛、身體痠痛,或淋巴結腫大。這些症狀若難以承受,可以透過藥物緩解;但是單純疱疹病毒一旦定居神經細胞,只會一下活躍,一下沉寂,終身無法根除。生病、發燒、月經、創傷、手術、陽光曝曬與心理壓力等,都可能引起復發。好在之後的發作通常為期較短,病況也不如第一次那麼嚴重。[2]

單純疱疹病毒腦炎

儘管單純疱疹病毒只會給一般人帶來暫時的不適;遇上免疫力差的人,發作就更加嚴重且頻繁,甚至有致命的風險。[1, 2]HSV-1 感染可能併發腦炎(encephalitis)和角膜炎(keratitis);[2]HSV-2 則會導致腦膜腦炎(meningoencephalitis)與擴散至多處的瀰漫性感染(disseminated infection)。[2, 3]

單純疱疹病毒腦炎的成人發病率高,每年約有 1/250,000–1/500,000;而且就算即時診斷,並經靜脈施予抗病毒藥物 acyclovir,仍有 20% 到 30% 的死亡率。[4]其診斷方式為執行腰椎穿刺(lumbar puncture),抽取腦脊髓液來檢驗有無病毒;以及做腦部核磁共振,主要看額葉與顳葉是否病變,僅有少數病例會擴及腦幹。病毒影響腦部,展現出來就成了頭疼、癲癇、發燒、失語、個性改變或精神錯亂。[1]

腰椎穿刺示意圖:側臥或坐姿。圖/BruceBlaus on Wikimedia Commons(CC BY 3.0)

問題是這名男子生前大概缺乏明顯症狀,所以未曾就診。難怪 2023 年在《國際鑑識科學:報告》(Forensic Science International: Reports)期刊介紹此案的論文作者,只差沒抱怨如此隱蔽的疾患,要叫人怎麼猜。他們最後表示男子死於肺炎,卻通篇討論他罹患的單純疱疹病毒腦炎,並且強調多數鑑識單位頂多幫屍體照電腦斷層掃描,不太容易發現這種腦部感染,所幸他們的電腦斷層掃描儀壞掉,仰賴核磁共振才做出正確診斷。[1]

-----廣告,請繼續往下閱讀-----

   

參考資料

  1. Genet P, Merkler D, Zerlauth JB, et al. (2023) ‘Incidental discovery of herpes simplex virus encephalitis by post-mortem MRI’. Forensic Science International: Reports, 7, 100310.
  2. Herpes simplex virus’. (05 APR 2023) World Health Organization.
  3. Yetmar ZA, Khodadadi RB, Chesdachai S, et al. (2023) ‘Mortality After Nocardiosis: Risk Factors and Evaluation of Disseminated Infection’. Open Forum Infectious Diseases, 10(8):ofad409.
  4. AK AK, Mendez MD. (31 JAN 2023) ‘Herpes Simplex Encephalitis’. In: StatPearls. Treasure Island (FL): StatPearls Publishing.
-----廣告,請繼續往下閱讀-----
胡中行

曾任澳洲臨床試驗研究護理師,以及臺、澳劇場工作者。 西澳大學護理碩士、國立台北藝術大學戲劇學士(主修編劇)。邀稿請洽臉書「荒誕遊牧」,謝謝。