Categories: 專欄

補牙的材料分好多種,銀粉、樹脂、齒雕到底差在哪?

關於「補牙」這件事……

我們每天咀嚼食物其實會磨損牙齒,漸漸損耗掉齒質。而如果清潔不慎, 蛀牙細菌會產生酸性物質,這會使得牙齒脫鈣,在表面上出現白斑和窩洞,漸漸地會造成牙齒有缺角或凹陷,進而引發疼痛。

這過程往往很難逆轉,喪失的齒質不會再生回來,這也是與人體其他組織不同的地方。牙齒需要修補,原因可能為 蛀牙 、磨耗、裂齒,或根管完後復形,修補方式有許多選擇,包括:汞齊合金(銀粉)、樹脂、微創齒雕(陶瓷嵌體)、牙套(假牙牙冠)等。

要怎麼選擇,醫師會看病人的缺損而定,各個材料有其適應症與治療流程的差異。醫師會注重在材料性質,修復窩洞的大小,與長期結果。

不同補牙材料到底有哪些差異?

銀粉:早期的補牙材料

汞齊合金(銀粉)。圖/新竹品味牙醫

較為早期的補牙材料,物理性質好、在口內穩定、醫師好操作。但為人詬病的地方在於含有重金屬離子(Hg, Cu, Sn),常會發現用汞齊補過的牙齒在長時間下,底下齒質有裂痕和染色,材料與牙齒之間會分離造成二度蛀牙,現在治療很少會再放汞齊。

-----廣告,請繼續往下閱讀-----

樹脂:最常見的補牙方式

樹脂。圖/新竹品味牙醫

最常見的補牙方式,對小範圍局部窩洞填補效果好。操作便利但治療過程怕口水汙染,可再修復性高,醫師容易再修補,材料顏色上也比較相近於自然牙。

現行大部分樹脂為光固化,材料本身會有 3-5% 收縮,容易在底部或是轉折處有滲漏,長久下來容易再蛀掉,抗磨耗程度不高。

微創齒雕:物理強度、抗磨耗性及生物相容性良好

微創齒雕。圖/新竹品味牙醫

由於陶瓷和牙齒黏著系統發展,陶瓷類材料被廣泛應用在假牙上,包括全瓷冠、齒雕、植體贗復等。因其良好的物理強度、抗磨耗性及生物相容性,齒雕在日漸追求治療品質的當今變為補牙首選──針對大範圍窩洞和根管後牙齒修復,提供了另一項選擇。
有別於傳統需要犧牲齒質而做牙套,微創齒雕能保守修磨齒質,保留更多結構。但治療過程繁複、需要時間長、技術門檻也高。

補牙材料差在哪?(新竹品味牙醫整理)

-----廣告,請繼續往下閱讀-----
銀粉
(汞齊合金)
樹脂 微創齒雕
(陶瓷嵌體/3D齒雕)
適應症 局部蛀牙 局部蛀牙 大範圍蛀牙
物理強度 佳,但易有牙裂 稍差,易磨耗
美觀度 差,金屬色 適中 佳,仿真
治療次數 單次 單次 2-3次
密合度 適中 稍差,會收縮
(口內印模/3D印模)
價格 健保 健保或自費 自費

同場加映:關於齒雕的常見疑問

問:對於大蛀牙,有微創齒雕就不用做牙套(牙冠)嗎?

齒雕和牙套所包覆齒質不同,若缺損的範圍太大、病人咬合力大、有夜間磨牙或蛀牙率高的患者,則不適合微創齒雕,且這兩種材料黏著原理不同,要是黏著效果不好,還是會傾向於做傳統牙釘和假牙。

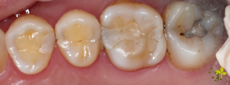
病人牙齒鄰接面有多顆蛀牙,合併有齒裂細紋,建議用微創齒雕(陶瓷嵌體)復形。圖/黃文龍醫師 @ 新竹品味牙醫

問:我有做齒雕以後都不會蛀牙了嗎?

不管是樹脂、齒雕或假牙牙冠,牙齒有修補不代表以後都不會再蛀掉,還是可能從邊緣或是牙根再蛀進去。醫師在修復邊緣同時會考慮病人好不好做清潔,因為病人的居家清潔和定期檢查,才是確保補牙材料能長久使用的關鍵。

修復過程。圖/圖/黃文龍醫師 @ 新竹品味牙醫
-----廣告,請繼續往下閱讀-----
活躍星系核

活躍星系核(active galactic nucleus, AGN)是一類中央核區活動性很強的河外星系。這些星系比普通星系活躍,在從無線電波到伽瑪射線的全波段裡都發出很強的電磁輻射。 本帳號發表來自各方的投稿。附有資料出處的科學好文,都歡迎你來投稿喔。 Email: contact@pansci.asia